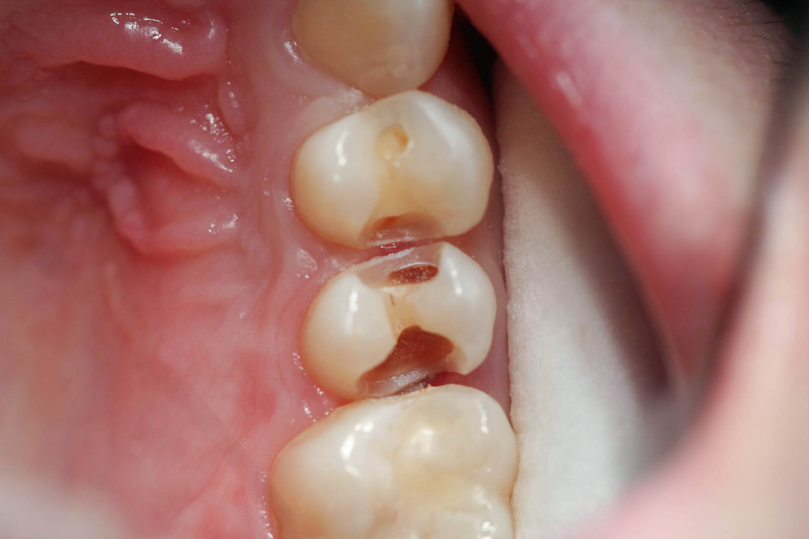
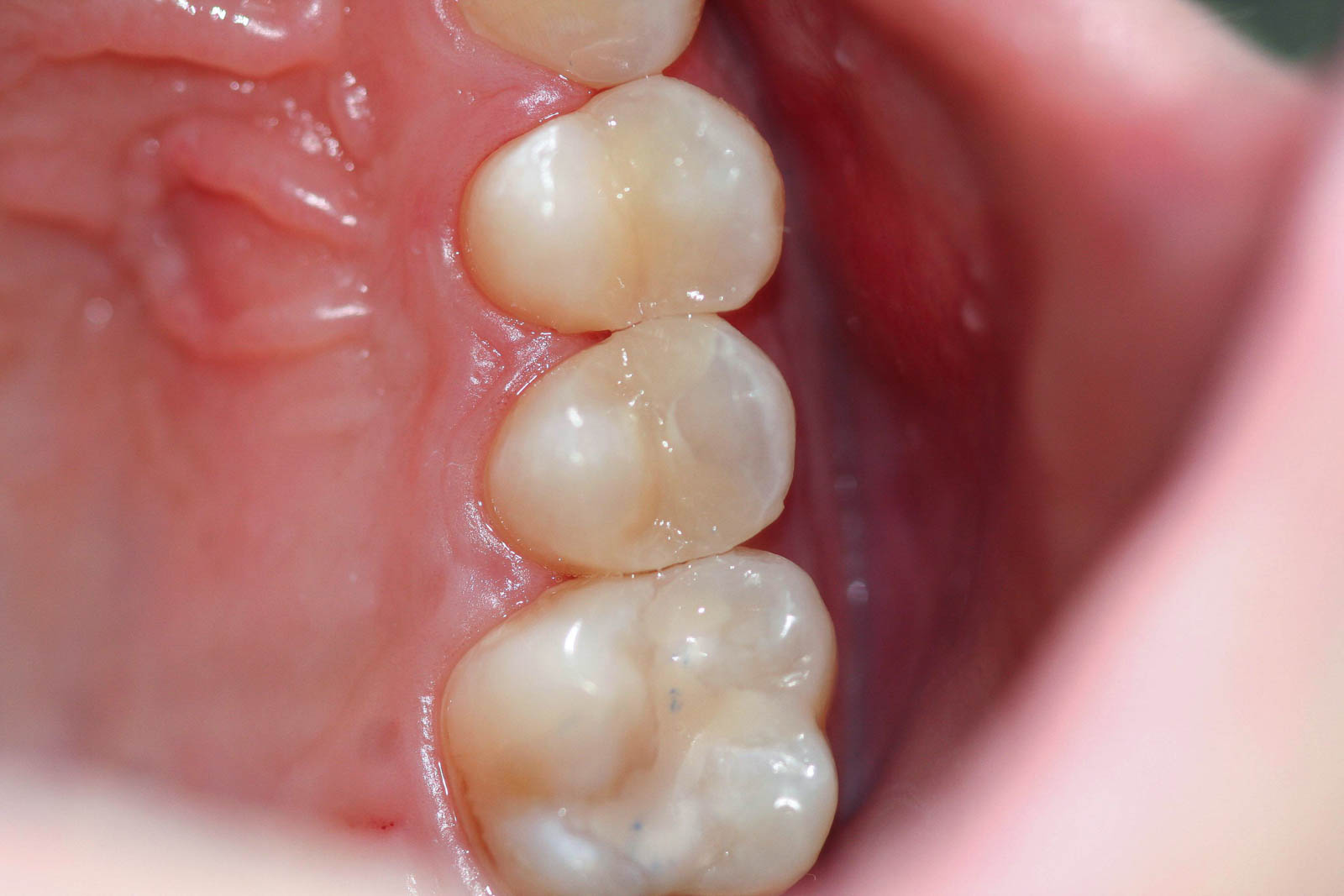
White Fillings Examples from Buchanan dental care








These are tooth coloured materials which have strength comparable to silver fillings. They are made from a mix of glass particles and resin (“mercury-free”) and bonded to your tooth with a strong dental adhesive. They can be used to improve your smile and appearance in photographs and in person.
If a white filling is not possible, your dentist may advise a crown or inlay/ onlay as way to improve strength and appearance. The life expectancy of a white filling, as with all your natural teeth, depends on how you look after it, your bite and what food and drink you consume.
White fillings range in cost depending on their size / place in the mouth and the time they take to carry out.
We only advise patients to replace fillings only when worn, broken or decaying.
Detailed information can be found at:
https://www.dentalhealth.org/white-fillings