Examples from Buchanan dental care


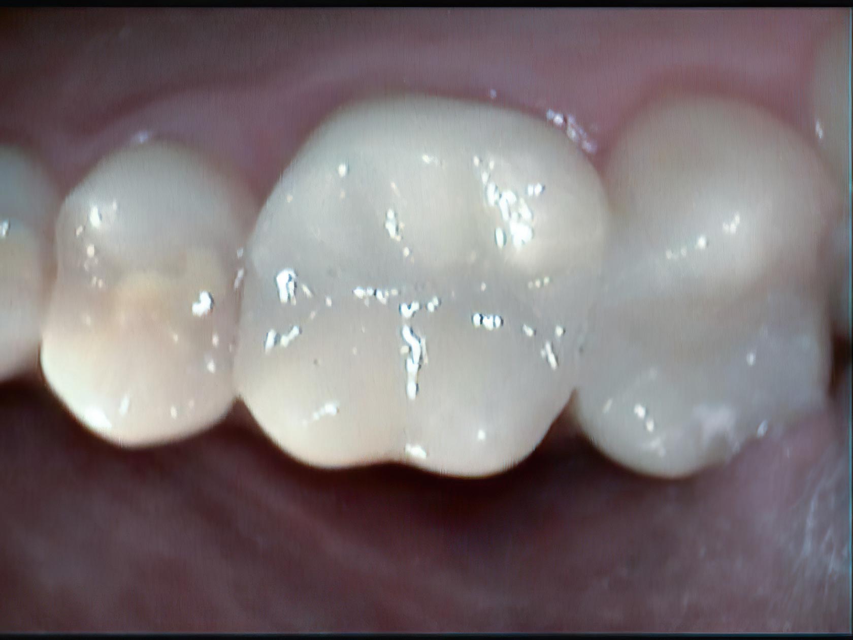
Medium and Large white fillings


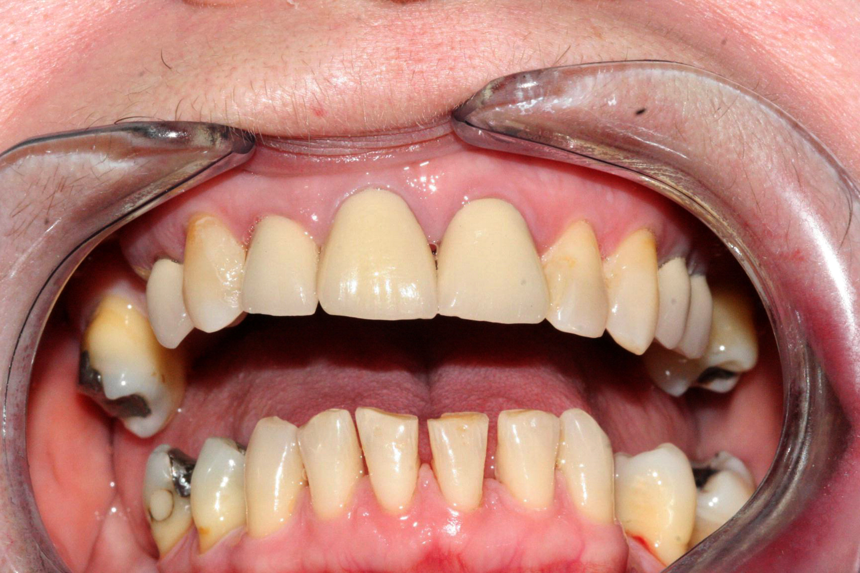
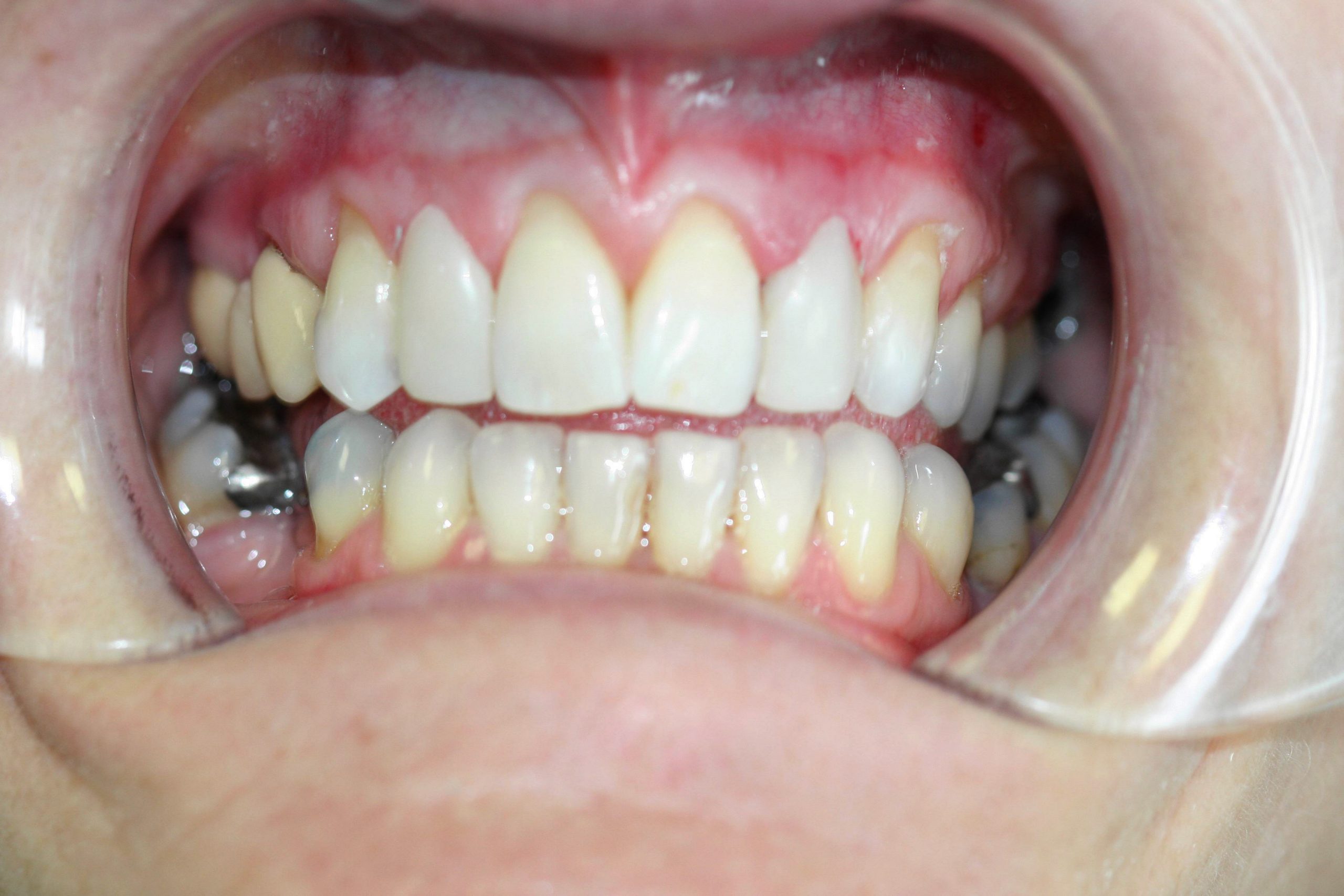
Metal crowns changed to White ceramic crowns, all silver fillings replaced to white fillings


Medium and Large white fillings


Metal crowns changed to White ceramic crowns, all silver fillings replaced to white fillings


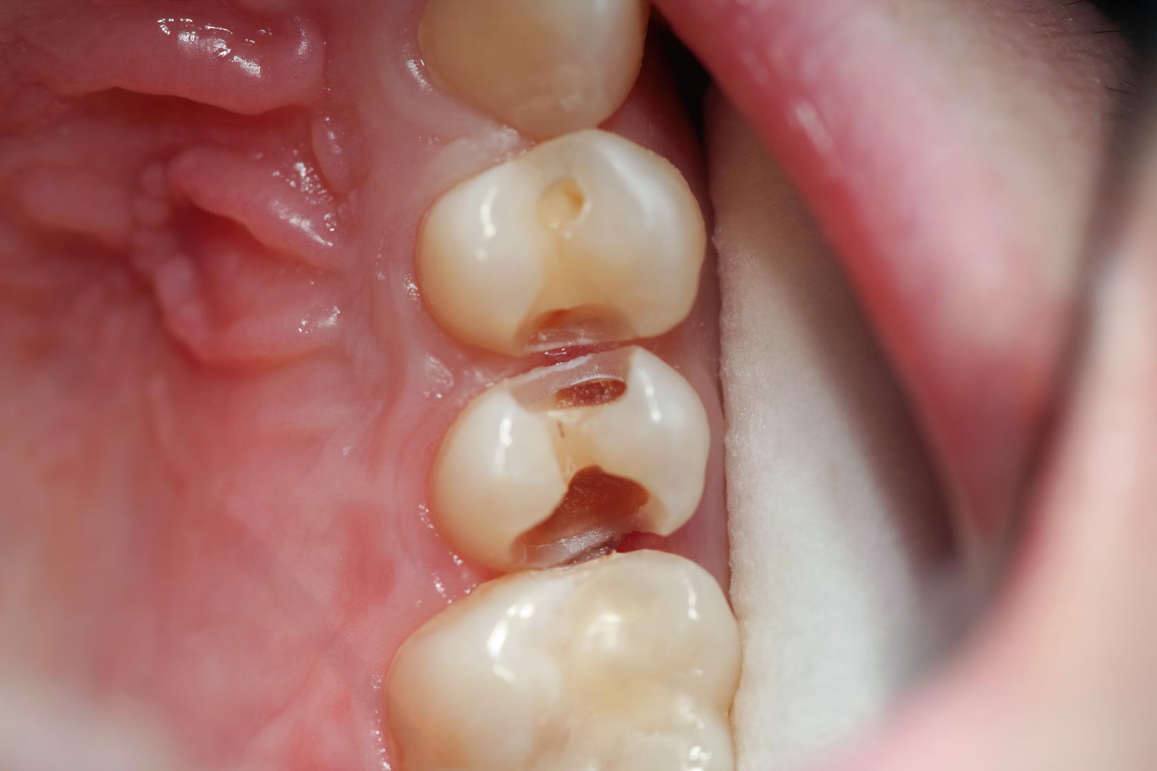
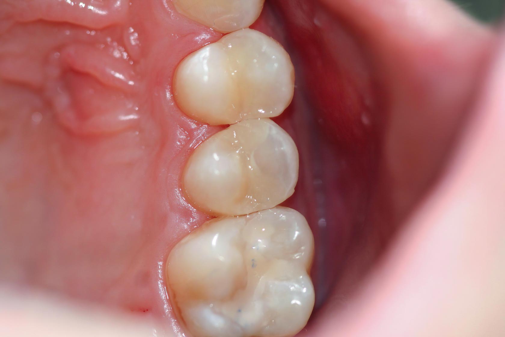
Large molar white filling


Small white filling


Large white molar filling


Small white molar filling


Private upper and lower full dentures


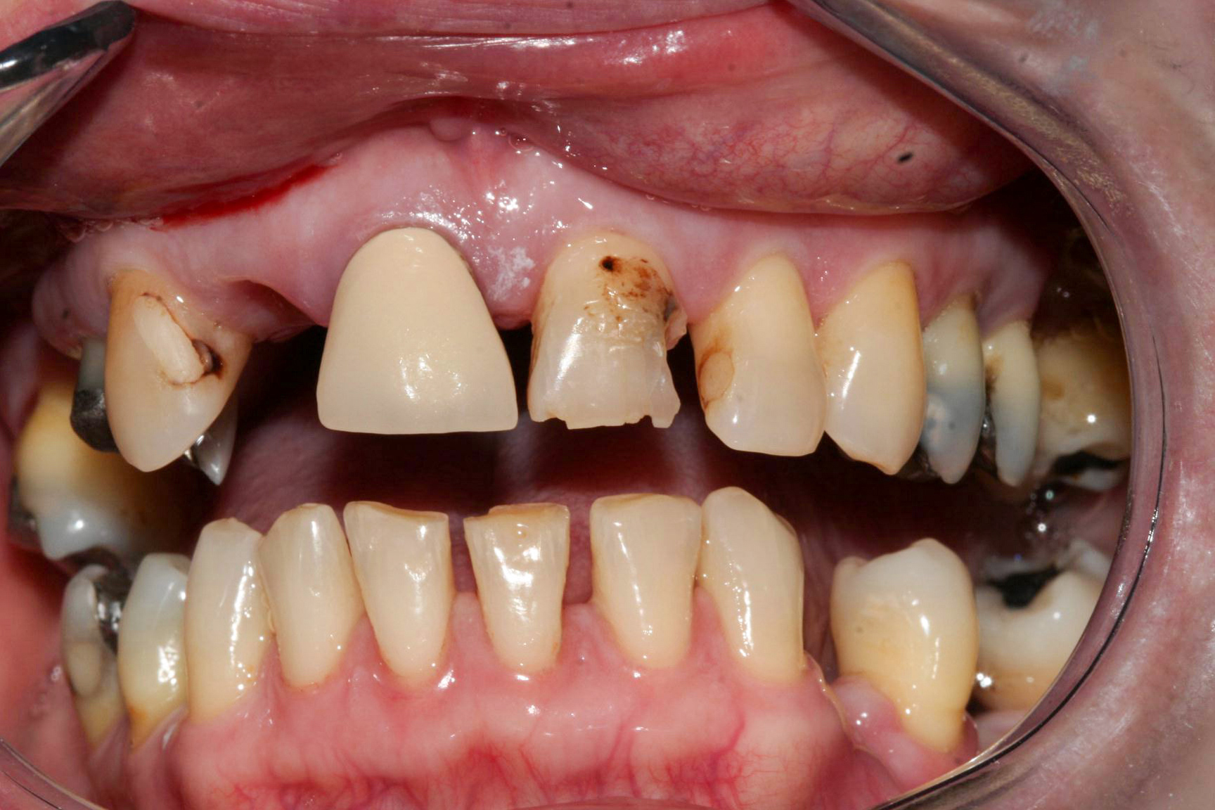
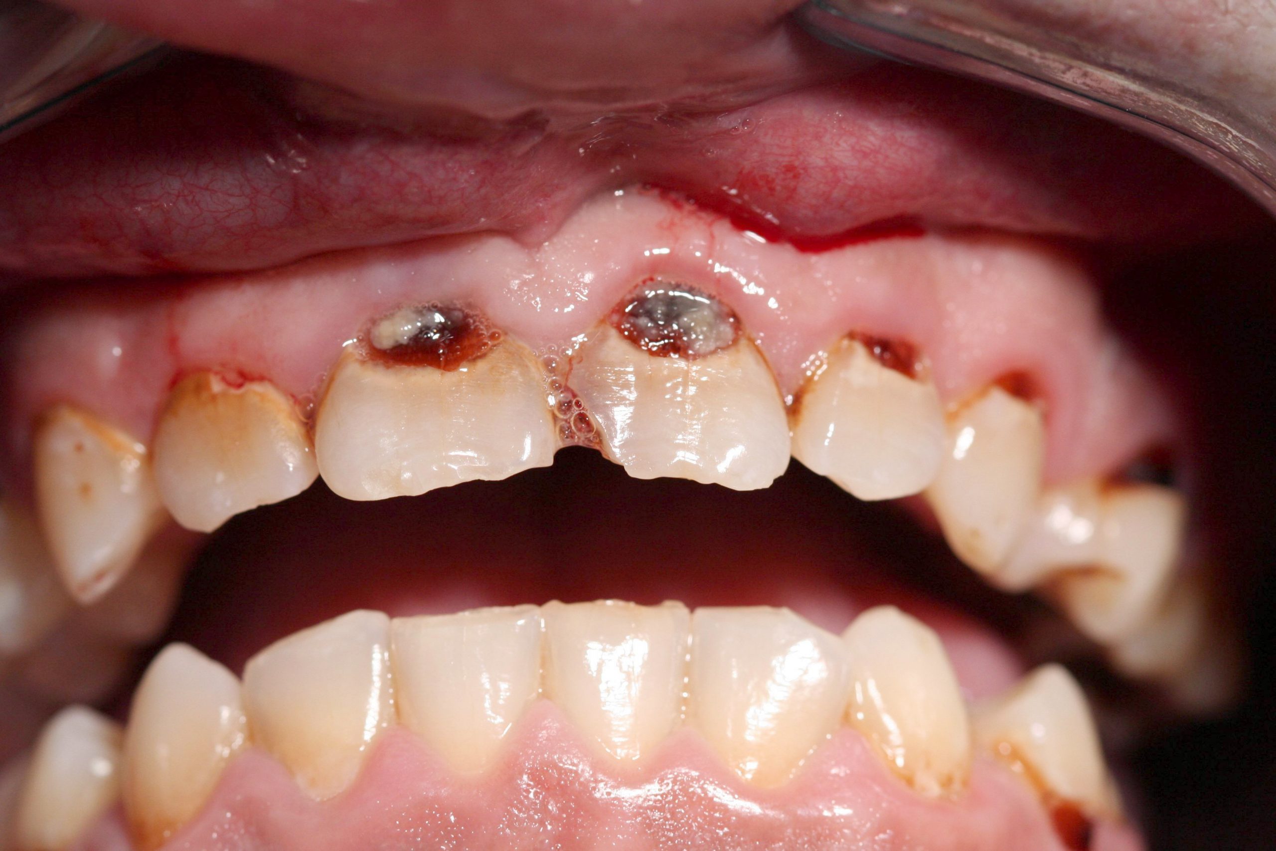
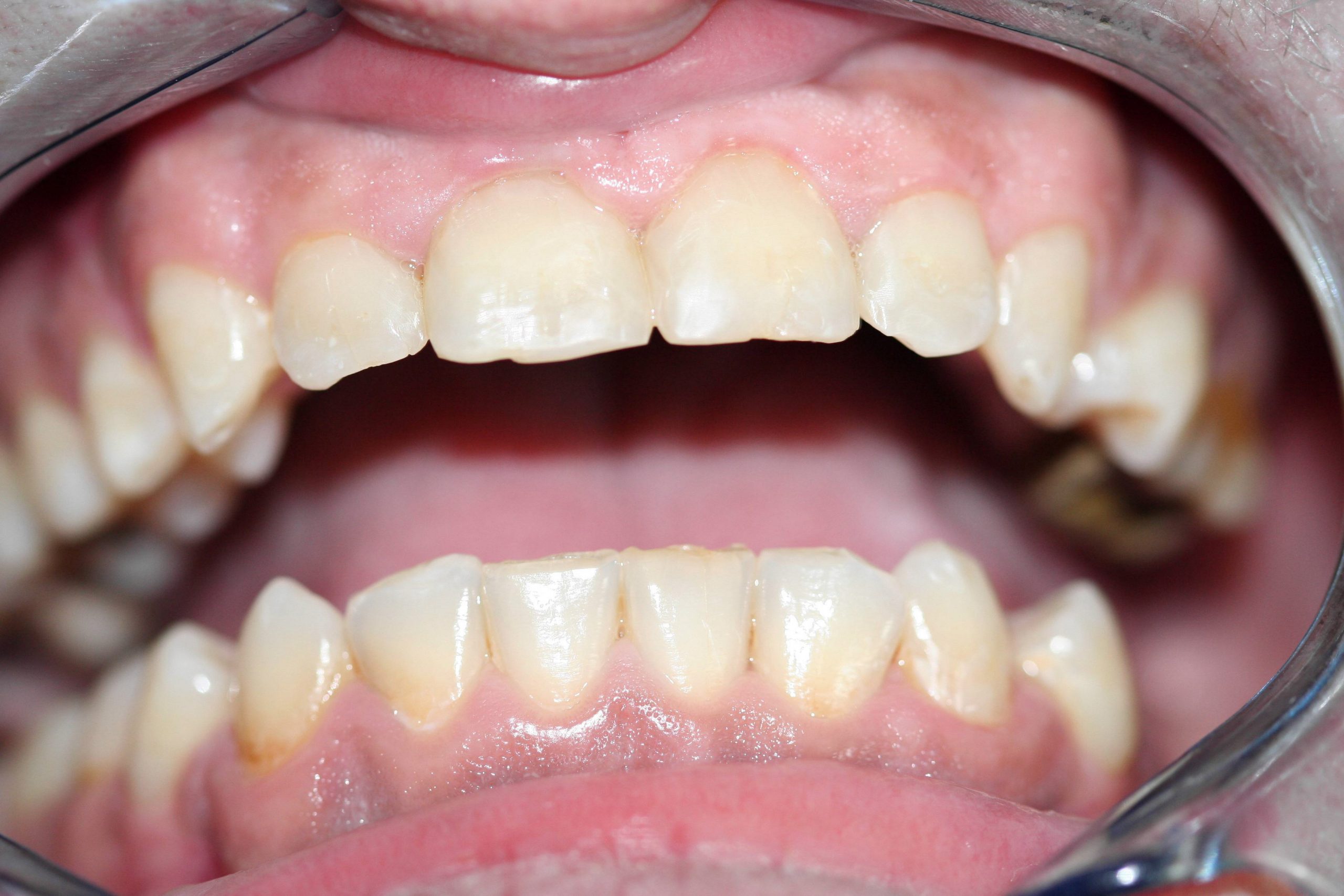
NHS treatment before and after with: Partial denture work, silver and white fillings and dental extractions


Teeth whitening


Broken filling replaced with E-max ceramic crown
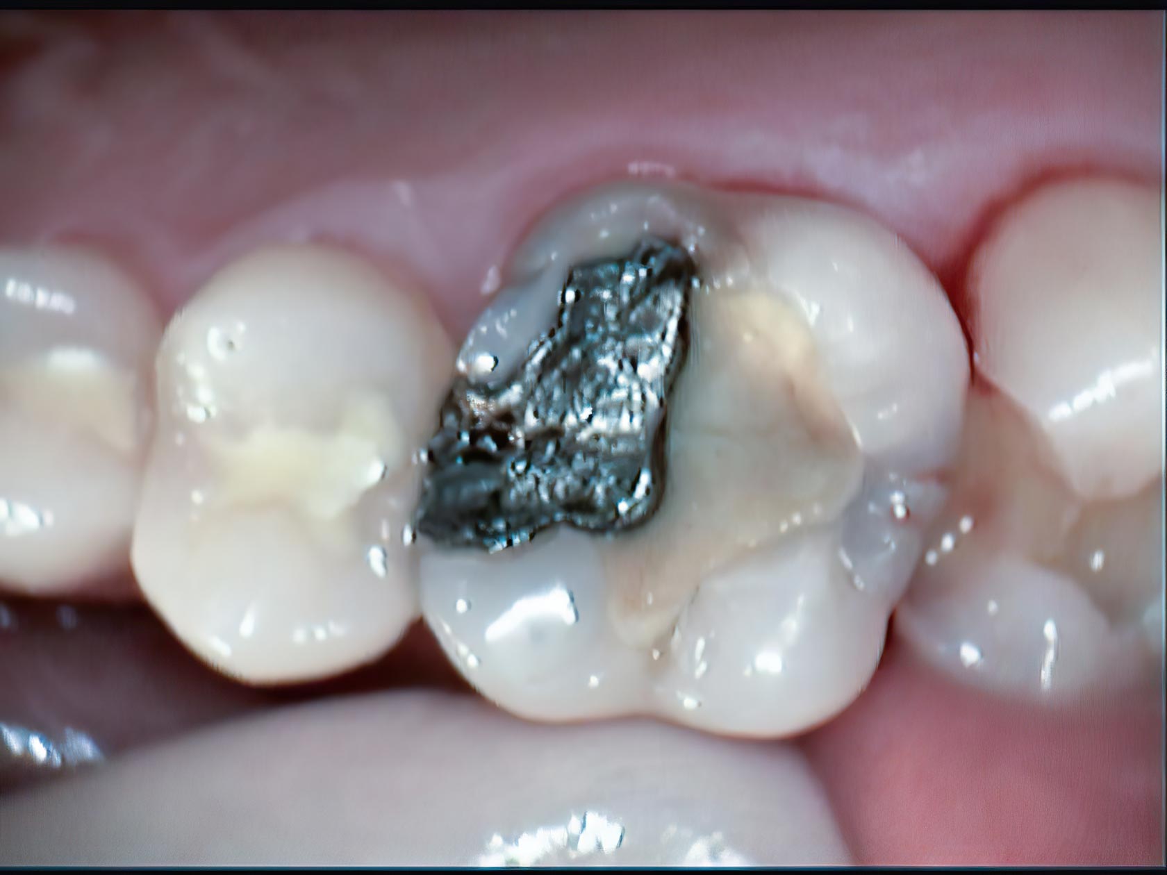
Silver filling


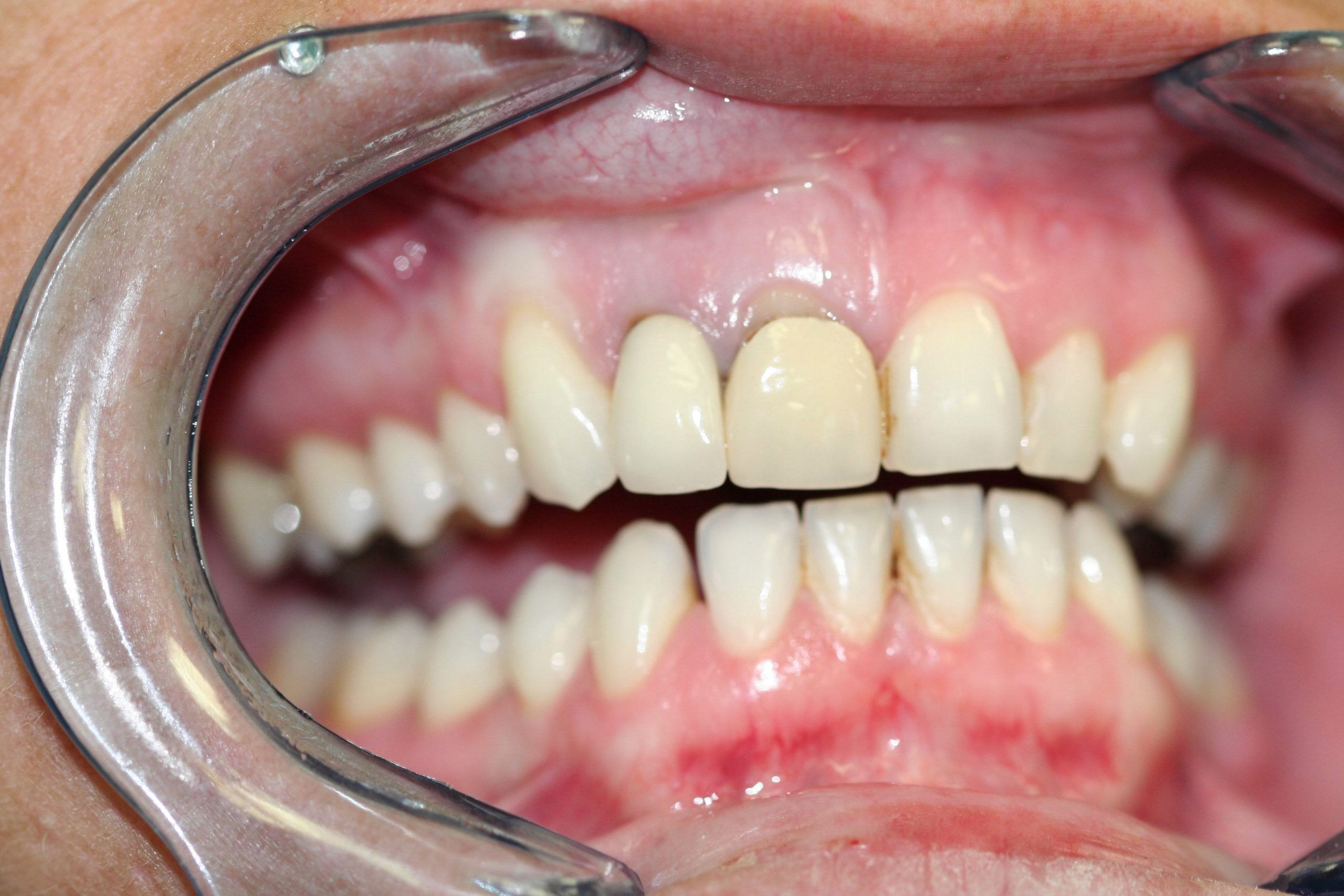
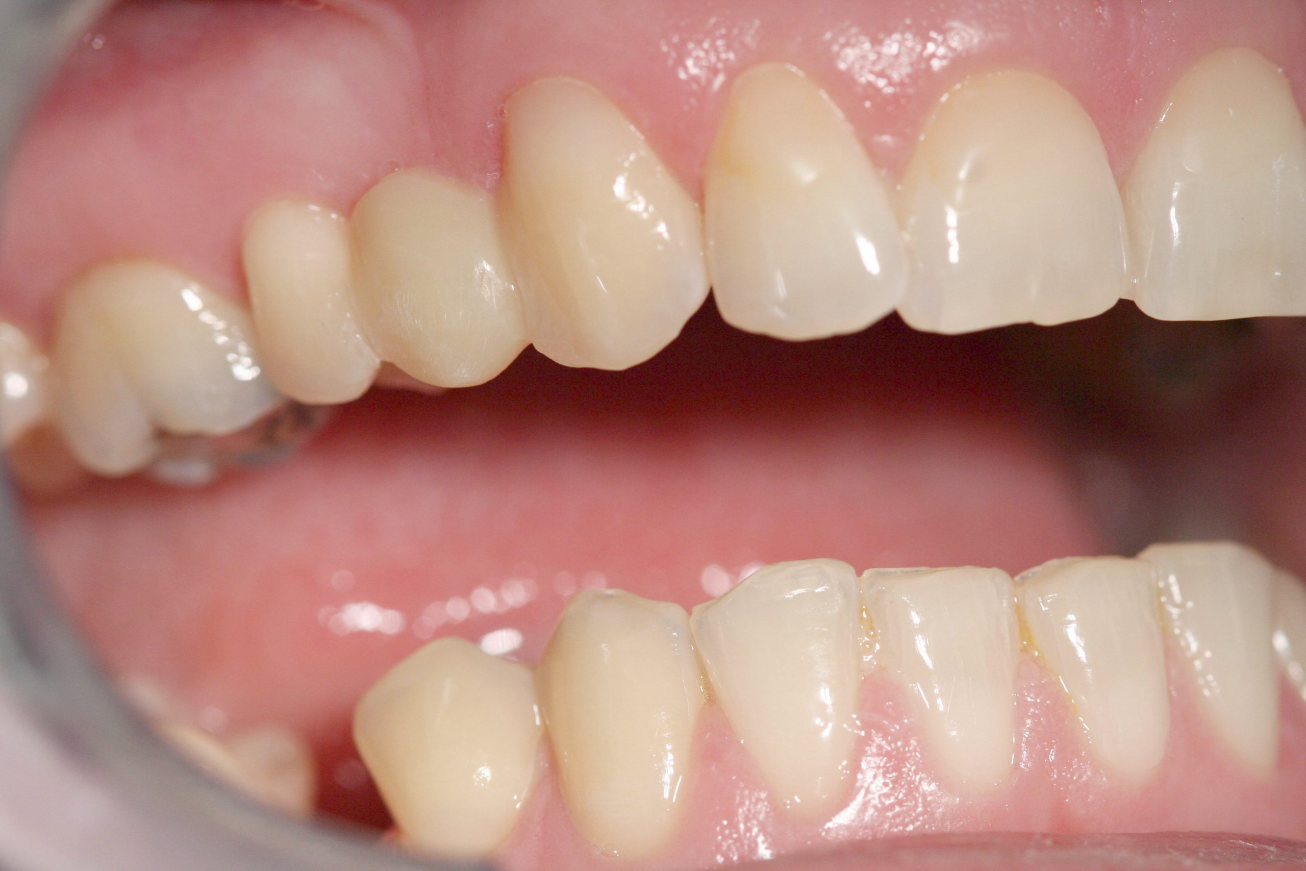
Old NHS crown replaced with E-max ceramic white crown, to hide metal margins
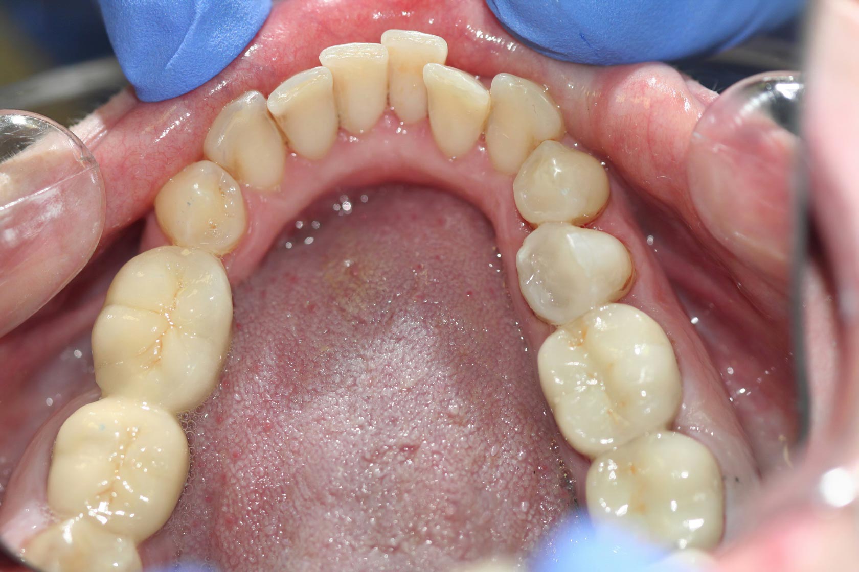
NHS white fillings in front teeth


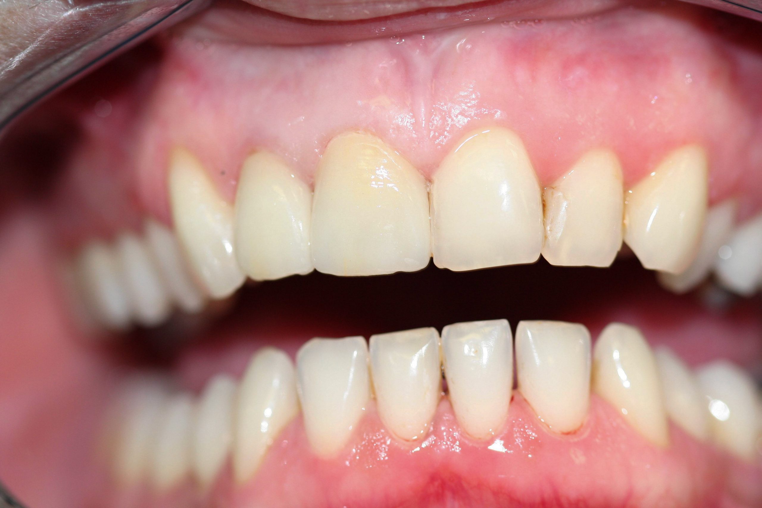
Direct fibre-post retained bridge to replace missing tooth


Before and After of NHS treatment


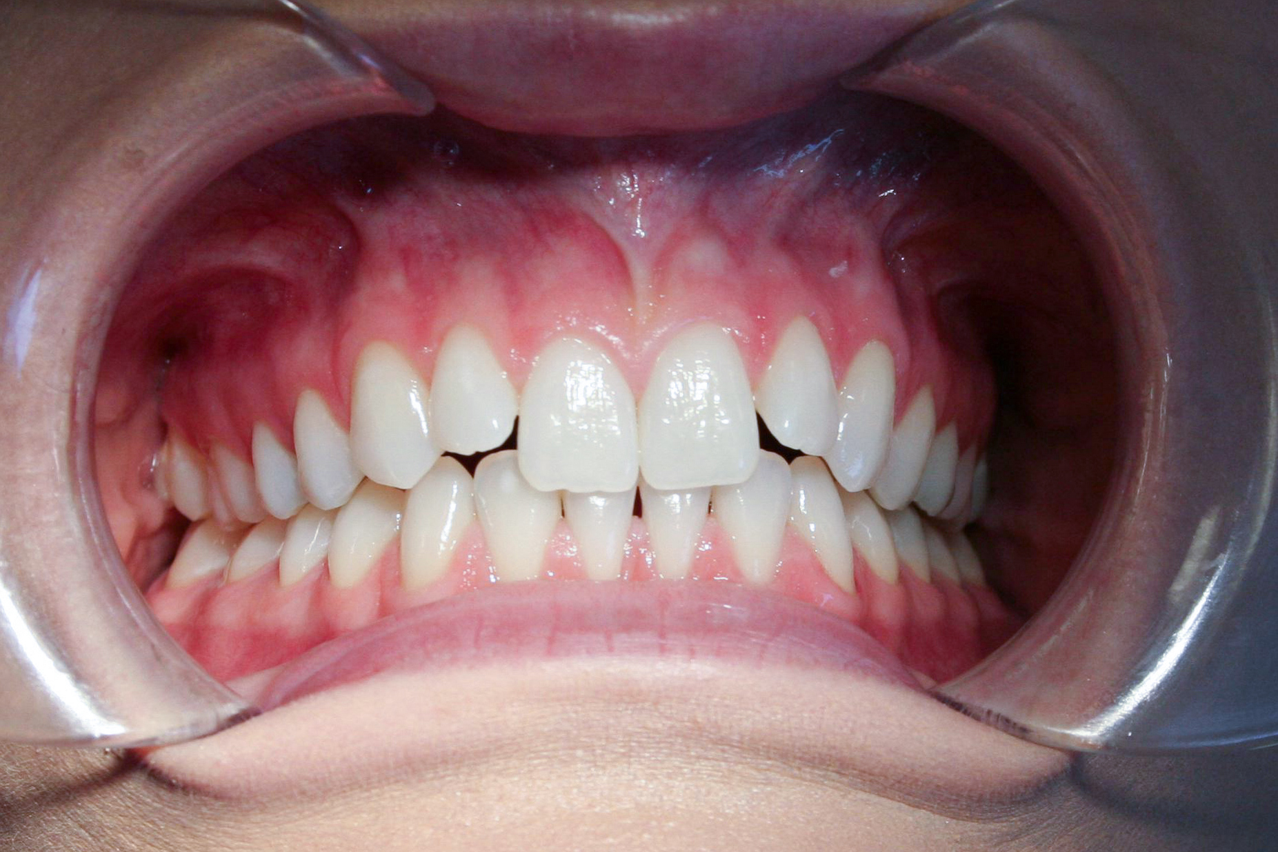
C-fast tooth alignment
NHS metal filling replaced with metal alloy gold crown


Teeth whitening


Old NHS crowns replaced with E-max ceramic crowns to hide metal margins


NHS white fillings in front teeth


C-fast tooth alignment